Coksart - Questa è l'artrosi dell'articolazione dell'anca.
Si sviluppa gradualmente, suscettibile ai progressi per diversi anni, può essere uno e doppio lato. È accompagnato dal dolore e dalla restrizione dei movimenti nell'articolazione. Nelle fasi successive si osservano l'atrofia dei muscoli dell'anca e l'accorciamento degli arti. La diagnosi è determinata sulla base dei sintomi clinici e dei risultati della radiografia. Trattamento conservativo nelle prime fasi della coxartrosi. Con la distruzione dell'articolazione, specialmente nei pazienti in giovane e medio, viene mostrata la chirurgia (endoprotetica).
informazioni generali
La rosa di Coksart (osteoartrosi o artrosi deformante dell'articolazione dell'anca) è una malattia degenerativa distrofica. Di solito si sviluppa all'età di 40 anni e più. Può essere il risultato di varie lesioni e malattie comuni. A volte si verifica senza motivo apparente. Coksartrose è caratterizzato da un corso progressivo graduale. I metodi di trattamento conservativo sono utilizzati nelle prime fasi. Nelle fasi successive, la funzione comune può essere ripristinata solo chirurgicamente.
In ortopedia e traumatologia, la coxartrosi è una delle osteoartrite più comune. L'alta frequenza del suo sviluppo è dovuta a una tensione significativa sull'articolazione dell'anca e alla diffusa prevalenza di patologia innata - displasia comune. Le donne soffrono di Coksart più spesso degli uomini.
Le cause di Coksart Rose
Le primarie (per ragioni sconosciute) e secondarie (malattie sviluppate) dell'articolazione dell'anca sono differenziate.
La rosa di Coksart secondaria può essere il risultato delle seguenti malattie:
- Displasia dell'anca.
- Dislocazione congenita della coscia.
- Malattie di Pertes.
- Necrosi asettica della testa della coscia.
- Lesioni infettive e processi infiammatori (ad es. Artrite dell'articolazione dell'anca).
- Lesioni (trasferimenti traumatici, fratture dello spuntino dell'anca, fratture pelviche).
Coksartrose può essere uno di questi o è doppio. Con la coxartrosi primaria, si osserva spesso una lesione di accompagnamento della colonna vertebrale (osteocondrosi) e dell'articolazione del ginocchio (rosa gonar).
Fattori di rischio
I fattori che aumentano la probabilità di sviluppare la coxartrosi includono:
- Costante aumento dello stress sulla connessione. Più spesso osservato negli atleti nelle persone con un eccesso di peso corporeo.
- Disturbi circolari, cambiamenti ormonali, disturbi metabolici.
- Patologia della colonna vertebrale (cifosi, scoliosi) o fermata (piedi piatti).
- Età più anziana e senile.
- Uno stile di vita in seduta.
Coksartenrose stesso non è ereditato. Tuttavia, alcune caratteristiche (disturbi metabolici, caratteristiche strutturali e debolezza della cartilagine) possono essere ereditate dai genitori dal bambino. Pertanto, la probabilità di verificarsi la malattia è leggermente aumentata.
Patanatomia
L'articolazione dell'anca è formata da due ossa: ileo e femorale. La testa della coscia è articolata con l'acetabolo dell'osso iliaco e forma una strana "cerniera". Durante i movimenti, l'acetabolo rimane immobile e la testa della coscia si muove in diverse direzioni, il che garantisce flessione, espansione, rapimento, portamento e rotazione.
Durante i movimenti, le superfici articolari delle ossa che non sono disabili spingono l'una rispetto all'altra, grazie ai norvegesi yalink lisce, elastici e durevoli, che coprono la grotta della cavità girevole e la testa della coscia. Inoltre, la cartilagine ialina svolge una funzione di assorbimento degli urti ed è coinvolta nella ridistribuzione del carico durante il movimento e la camminata.
Nella cavità articolare c'è una piccola quantità di liquido articolare che svolge il ruolo della lubrificazione e offre la dieta della cartilagine ialina. L'articolazione è circondata da una capsula densa e forte. Sopra la capsula ci sono grandi cosce e globuli muscoli, che forniscono movimenti nell'articolazione e insieme a Hyalink Norpes sono anche ammortizzatori che proteggono l'articolazione dalle lesioni con movimenti senza successo.
Con coxartrosi, il fluido articolare diventa più spesso e viscositore. La superficie della cartilagine ialina si asciuga, perde la levigatezza coperta da crepe. A causa della rugosità che è sorta, la cartilagine viene costantemente ferita nei movimenti, il che porta a un diradamento e peggiora i cambiamenti patologici nell'articolazione. Man mano che la coxartrite avanza, le ossa iniziano a deformarsi e ad adattarsi all'aumento della pressione. Il metabolismo nell'articolazione peggiora. Nelle fasi successive della coxartrosi, si osserva una grave atrofia dei muscoli del legame doloroso.
Sintomi di coxartrosi
I principali sintomi della malattia sono il dolore nell'articolazione, nelle aree inguinali, nelle cosce e nelle articolazioni del ginocchio. Anche con la rosa di Cokesart, la rigidità dei movimenti e la rigidità dell'articolazione, il disturbo dell'andatura, la zoppia, l'atrofia dei muscoli dell'anca e l'accorciamento degli arti sul lato della lesione. Una caratteristica caratteristica di Coksart Rose è una restrizione del rapimento (ad esempio, il paziente è difficile se cerca di sedersi su una sedia). La presenza di alcuni segni e la loro gravità dipende dallo stadio della coxartrosi. Il primo e più costante sintomo è il dolore.
A Coksartrose del 1 ° grado I pazienti si lamentano del dolore periodico che si verifica dopo l'attività fisica (correre o camminare più a lungo). Il dolore si trova nell'articolazione, meno spesso nella coscia o nel ginocchio. Dopo la calma di solito scompare. Il passaggio per l'artrosi di Kox del 1 ° grado non è rotto, i movimenti sono completamente conservati, non esiste atrofia muscolare.
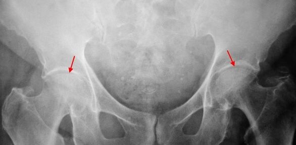
Sui raggi X del paziente, che soffrono del 1,1 ° grado, vengono determinati cambiamenti lievi: un moderato restringimento irregolare della colonna articolare e una crescita ossea attorno al bordo esterno o interno dell'acetabolo senza cambiamenti dalla testa e dal collo della coscia.
A Coksartrose 2 gradi Il dolore diventa più intenso, spesso si verifica in pace, si irradia nella coscia e nell'area inguinale. Dopo una significativa attività fisica, il paziente inizia a dormire con Rose Coksart. Il volume dei movimenti nell'articolazione diminuisce: il rapimento e la rotazione interna della coscia sono limitati.
Nelle immagini di radiazioni X per la coxartrite del 2 ° grado, viene determinato un significativo restringimento del divario comune (più della metà dell'altezza normale). La testa della coscia è leggermente spostata, deformata e aumentata e i suoi contorni diventano irregolari. La crescita ossea con questo grado di coxartrosi si verifica non solo all'interno, ma anche sul bordo esterno dell'acetabolo e va fuori dalla cartilagine.
A Coksartrose 3 gradi Il dolore non è solo costante e preoccupato per i pazienti durante il giorno, ma anche di notte. Andare è difficile se un paziente si muove con la rosa di Coksart è costretto a usare un bastone. Il volume dei movimenti nell'articolazione è molto limitato, i muscoli dei glutei, i fianchi e le gambe inferiori vengono remunerati. La debolezza dei muscoli della distanza della coscia diventa la causa della deviazione del bacino nel livello anteriore e l'accorciamento dell'arto sul lato dolorante. Al fine di compensare l'accorciamento, un paziente che soffre di Rose Coksart si inclina nella direzione dolorosa quando si cammina. Per questo motivo, l'attenzione è rivolta al focus, il carico sulla connessione dolorante aumenta in modo significativo.
Nel caso di raggi X per la coxartrite del 3 ° grado, è dimostrato un forte restringimento della colonna articolare, un'espansione pronunciata della testa della coscia e diverse crescita ossea.
Diagnosi
La diagnosi di coxartrosi si basa su segni clinici e dati di ulteriori studi che sono radiografici. In molti casi, i raggi X consentono non solo il grado di coxartrosi, ma anche la causa del suo aspetto. Ad esempio, le scene e l'appiattimento dell'acetabolo indicano un aumento dell'angolo diafisico del collo e la forma della parte prossimale del femore sono indicati che la rosa di Coksart è una conseguenza della malattia o dell'epifisissis giovanile di Pertes. Nel caso di raggi X di pazienti con coxartrosi, è possibile determinare cambiamenti che indicano lesioni.
La TC e la risonanza magnetica possono essere utilizzate come altri metodi per la diagnosi strumentale della coxartrosi. La tomografia al computer consente di esaminare in dettaglio i cambiamenti patologici attraverso le strutture ossee in dettaglio e l'imaging di risonanza magnetica offre la possibilità di valutare i disturbi da parte dei tessuti molli.

Diagnosi differenziale
Prima di tutto, la coxartrosi della gonartrosi (osteoartrosi dell'articolazione del ginocchio) e l'osteocondosi della colonna vertebrale dovrebbero essere differenziate. L'atrofia dei muscoli, che si verifica in 2 e 3 fasi della coxartrosi, può causare dolore all'articolazione del ginocchio, che spesso esprime più leggero del dolore nell'area del danno. Pertanto, l'esame dell'articolazione dell'anca con i sintomi del paziente sul dolore al ginocchio (ispezione, palpazione, determinazione del volume del movimento) è l'esame dell'articolazione dell'anca e se si sospetta che la coxartrosi debba guidare il paziente nella radiografia.
Il dolore nella sindrome radicolare (compressione delle radici nervose) per l'osteocondrosi e alcune altre malattie della colonna vertebrale può imitare il dolore con la coxartrosi. Contrariamente alla coxartrosi, il dolore si verifica improvvisamente dopo un movimento infruttuoso delle radici, dopo un movimento senza successo, una curva affilata, sollevare pesi, ecc. Nei glutei e si diffonde lungo la parte posteriore della coscia. Viene determinato un sintomo positivo della tensione: forte dolore quando il paziente cerca di aumentare un arto liscio che si trova sulla schiena. Allo stesso tempo, il paziente prende la gamba di lato, mentre il rapimento è limitato nei pazienti con Rose Coksart. Va in considerazione che l'osteocondrosi e Coksart possono essere osservati contemporaneamente, quindi in tutti i casi è richiesto un esame approfondito del paziente.
Inoltre, la rosa di Cokesart differisce con la trocanterite (boorsite) - infiammazione asettica nell'area di legame i muscoli del glutura. Contrariamente alla coxartrosi, la malattia si sviluppa rapidamente entro 1-2 settimane, di solito dopo una lesione o un'attività fisica significativa. L'intensità del dolore è superiore rispetto alla rosa di Coksart. Non si osservano restrizioni ai movimenti e all'accorciamento dell'arto.
In alcuni casi, nel caso di un decorso atipico della malattia o dei sintomi di artrite reattiva che assomigliano alla coxartrosi. Contrariamente alla coxartrosi, queste malattie cadono la punta del dolore di notte. La sindrome del dolore è molto intensa e può perdere peso quando si cammina. La rigidità mattutina è caratteristica che si verifica immediatamente dopo il risveglio e scompare gradualmente in poche ore.
Trattamento della coxartrosi
Il trattamento della patologia è coinvolto nei traumatologi. La scelta dei metodi di trattamento dipende dai sintomi e dallo stadio della malattia. La terapia conservativa viene effettuata in 1 e 2 fasi di coxartrosi. Durante l'esacerbazione di coxartrosi, blocchi di iniezione, farmaci anti -infiammatori non sterici (pirossene, indometacina, diclofenac, ibuprofene, ecc.). Va in considerazione che i farmaci di questo gruppo non sono raccomandati a lungo, poiché hanno un impatto negativo sugli organi interni e la capacità della cartilagine ialina può sopprimerli per il recupero.
Per ripristinare la cartilagine danneggiata per Coksartrose, vengono utilizzati fondi di un gruppo di condroprotettori (condroitina solfato, estratto di cartilagine, ecc.). Per migliorare la circolazione sanguigna e rimuovere il crampi di piccoli vasi, sono prescritti farmaci vasodilatuosi (tinarisina, acido nicotinico, pentoxifillina, xanthinolo nicotina). Secondo le informazioni, vengono utilizzati rilassanti muscolari (farmaci per rilassamento muscolare).
Con la sindrome del dolore testardo, i pazienti che soffrono di rosa di Coksart possono essere prescritti cardini intra -card usando medicinali ormonali (idrocortisone, triamcinolone, contatore). Il trattamento con steroidi deve essere effettuato con cautela. Inoltre, i prodotti locali vengono utilizzati per la coxartrosi, unguenti di riscaldamento che non hanno un effetto terapeutico pronunciato, ma in alcuni casi alleviare la pasea muscolare e ridurre il dolore a causa del loro effetto "distratto". Con coxartrite, metodi fisioterapici (terapia brillante, ultrasonica, trattamento laser, UHF, inductotermia, magnetoterapia), massaggio, terapia manuale e ginnastica terapeutica.
La dieta per la rosa di Coksart non ha alcun effetto terapeutico indipendente ed è usata solo come mezzo per ridurre il peso. Riducendo il peso corporeo, è possibile ridurre il carico sulle articolazioni dell'anca e di conseguenza facilitare il corso della rosa di Coksart. Al fine di ridurre il carico dell'articolazione, il medico può raccomandare di camminare con un bastone o una stampella a seconda del grado di coxartrosi.
Nelle fasi successive (con co -artrosi del 3 ° grado), l'unico metodo di trattamento efficace è l'operazione - che sostituisce l'articolazione distrutta con un'endoprotesi. A seconda del tipo di lesione, i singoli conchiglie (sostituivano solo la testa della coscia) o due gusci (che sostituisce sia la testa della coscia che la cavità girevole) possono essere utilizzati.
Il funzionamento dell'endoprotetica per la coxartrosi è pianificato dopo un esame completo in anestesia generale. La terapia antibiotica viene effettuata nel periodo postoperatorio. Le cuciture vengono rimosse in 10-12 giorni, secondo i quali il paziente viene prescritto per il trattamento ambulatoriale. Dopo le endopropostetiche, vengono necessariamente eseguite misure di riabilitazione.
Nel 95% dei casi, l'intervento chirurgico garantisce un completo ripristino della funzione degli arti per sostituire l'articolazione con coxartrosi. I pazienti possono lavorare, muoversi attivamente e persino fare sport. La durata media della protesi è tutte raccomandazioni di 15-20 anni. Successivamente, è necessaria una seconda operazione per sostituire un'endoprotesi usurata.


























